X-Ray & CT Scanning of 22nd & 25th Dynasty Egyptian Mummies from Thebes

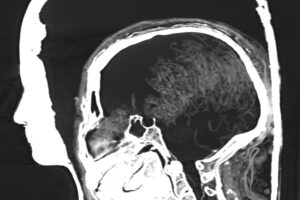
The project undertakes the scientific non-invasive examination, macroscopically, by x-ray, and by CT scanning, of two male and two female intact mummies (and the internal organs in canopic jars of three of them) of definitely identified elite persons from ancient Thebes. Project Director: Cynthia May Sheikholeslami

The project undertakes the scientific non-invasive examination, macroscopically, by x-ray, and by CT scanning, of two male and two female intact mummies (and the internal organs in canopic jars of three of them) of definitely identified elite persons from ancient Thebes. The mummies are securely dated in the 22nd and 25th Dynasties (ca. 800-700 BC), providing important diachronic range, and will be placed in their cultural context through the study of the burial equipment and the excavation site. Training about the methodologies used for non-invasive scientific study of mummies will be provided for the staffs of the museums involved, recommendations will be made for conservation measures and proper museum storage and display for the ensembles, and the results will be published in volumes devoted to the history of the Temple of Hatshepsut at Thebes during the 22nd to 25th Dynasties.

Project Details


Location: Luxor, Egypt, Northern Africa, Africa Organiser(s): Polish-Egyptian Mission to the Temple of Hatshepsut at Deir El-Bahari Funder(s): American Research Center in Egypt-Antiquities Endowment Fund Funding received: $14,846 Commencement Date: 10/2013 Project Status: Completed
Project owner? Update this project



Related Projects

Image 1

Fresh Approaches to Conserving Bio-Archaeology in Egypt: A Workshop on the Conservation of Human & Animal Remains

In recent seasons, beautifully preserved human burials and countless animal mummies interred inside ceramic jars have been carefully block lifted by conservators from the Nort…

Explore project
Image 1

X-Ray & CT Scanning of 22nd & 25th Dynasty Egyptian Mummies from Thebes

The project undertakes the scientific non-invasive examination, macroscopically, by x-ray, and by CT scanning, of two male and two female intact mummies (and the internal orga…

Explore project
71 Image 1

Conservation of the Vestibule of the Tomb of Karakhamun (TT 223) in South Asasif

The vestibule in the Tomb of Karakhamun was found in 2011 and excavated in 2012. It is decorated with drawings of daily life scenes. This is the earliest known Kushite example…

Explore project